Activity
Mon
Wed
Fri
Sun
Nov
Dec
Jan
Feb
Mar
Apr
May
Jun
Jul
Aug
Sep
What is this?
Less
More

Memberships

MSK Radiology

2k members • Free

7 contributions to MSK Radiology
Tear of SSP and ISP?
Female 50 y.o. There is known tear of supraspinatus and infraspinatus tendon. Patient has frozen shoulder. Q1: It looks like incomplete full thickness tear of SSP, with rupture of the posterior aspect of tendon and extending to the infraspinatus? I am guessing there is tendinosis of the anterior aspect of SSP tendon but without rupture? Q2: Why the bone marrow of humerus is so bright on T2 SPAIR with prominent vessels? https://www.cmrad.com/cases/1786240110
Tear of SSP and ISP?
1 like • Jul 24
@Jesus Prieto Casado thanks for feedback
Knee chondral zones
Hi. Which classification do you use to specify the exact location of a cartilage defect in the knee joint?
0 likes • May 15
At my institution we use Outerbridge classification for chondral degeneration (grading from 1 to 4)
Male 75yo - pain, no trauma
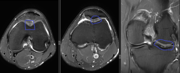
Large cystic collection at the medial aspect of the knee, which is deep to the medial collateral ligament, could this be large parameniscal cyst or ganglion cyst of semimembranosus tendon? https://www.cmrad.com/cases/2035643362
Male 75yo - pain, no trauma
0 likes • Apr 23
@Christoph Agten thanks Chris for detailed instructions ☺️
Could this be "black line sign" of cartilage?
Areas of cartilage PDW/PDW FS hypointense signal - possible areas of fissuring/cartilage degeneration? https://www.cmrad.com/cases/1089538934
Could this be "black line sign" of cartilage?
0 likes • Mar 7
@Christoph Agten
Popliteal fossa lesion
Saw something deep to the popliteal artery that I couldn't identify on ultrasound. What is it please?
Popliteal fossa lesion
1 like • Mar 6
It could look like lymph node
1-7 of 7
Đurađ Perović
2
10points to level up
@ura-perovic-6591
Resident of Radiology in Clinical Centre of Vojvodina, Novi Sad, Serbia Mostly interested in MSK radiology

Active 18d ago
Joined Dec 5, 2024
Powered by