User
Write something
🧫 Micro Stain of the Week with Dede
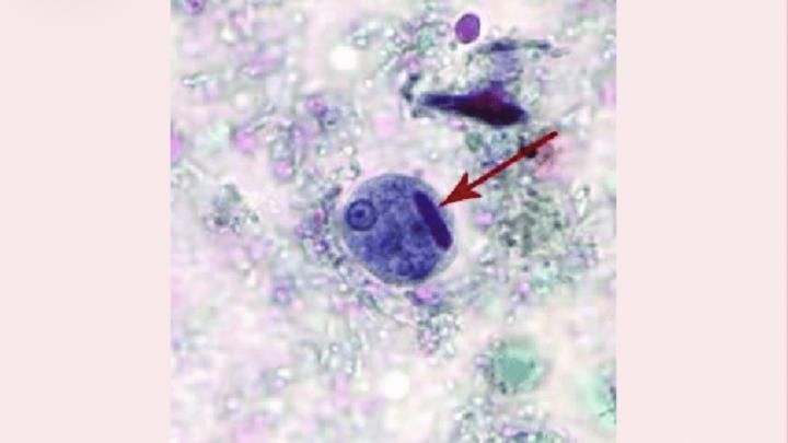
Stain #7: Wright-Giemsa 🔬 Purpose: Blood & tissue parasites 🎯 Primary Use: Plasmodium, Babesia 👀 Results: • Parasites stain purple/blue What learners see: Blood cells with intracellular parasites (e.g., Plasmodium) 📝 ASCP Tip: Blood parasites → Wright-Giemsa
0
0
🧫 Micro Stain of the Week with Dede
🧫 Micro Stain of the Week with Dede
Stain #6: Trichrome Stain 🔬 Purpose: Identify intestinal protozoa 🎯 Primary Use: Stool O&P exams 👀 Results: • Protozoa cytoplasm = blue-green • Nuclei = red/purple ⚠️ Key Point: Preserved stool required 📝 ASCP Tip: Parasites = Trichrome What you see: Blue-green cytoplasm with red nuclei in protozoa
0
0
🧫 Micro Stain of the Week with Dede
🧫 Micro Stain of the Week with Dede
Stain #5: Calcofluor White 🔬 Purpose: Detect fungi 🎯 Primary Use: Yeasts & molds 🧪 Principle: Binds to chitin and cellulose 👀 Results: - Fungal elements fluoresce bright blue-white 📝 ASCP Tip: UV light + fungi = Calcofluor
0
0
🧫  Micro Stain of the Week with Dede
🧫 Micro Stain of the Week with Dede
Stain #4: India Ink 🔬 Purpose: Detect encapsulated organisms 🎯 Primary Use: Cryptococcus neoformans (CSF) 🧪 Principle: Capsule excludes ink 👀 Results: - Clear halo around yeast cell ⚠️ Limitation: Low sensitivity 📝 ASCP Tip: India Ink + CSF = Crypto
0
0
🧫  Micro Stain of the Week with Dede
🧫 Micro Stain of the Week with Dede
Stain: Modified Acid-Fast 🔬 Purpose: Detect weakly acid-fast organisms 🎯 Primary Use: Nocardia, Cyclospora, Isospora 🧪 Difference: Weaker acid used for decolorization 👀 Results: - Positive organisms = red - Background = blue 📝 ASCP Tip: If it’s not quite acid-fast → think Modified
0
0
🧫  Micro Stain of the Week with Dede
1-7 of 7
powered by
Microbiology with Dede!
skool.com/microbiology-with-dede-5731
Learn microbiology the easy way with Dede—simple notes, quizzes, and study support for anyone wanting to master micro.
Build your own community
Bring people together around your passion and get paid.
Powered by